BYU School of Medicine
MED 604

Nutrient Absorption in the Small Intestine

Pre-work

Medical Biochemistry, Chapter 30, 455-469

Week 7 Pre-Quiz

Lesson

Click the slide below to start the presentation:

Week 7

Nutrient Absorption in the Small Intestine

"All grain is good for the food of man; as also the fruit of the vine; that which yieldeth fruit, whether in the ground or above the ground—

And all saints who remember to keep and do these sayings, walking in obedience to the commandments, shall receive health in their navel and marrow to their bones;"

— D&C 89:16, 18

Click to start
Week 7

Nutrient Absorption in the Small Intestine

"All grain is good for the food of man; as also the fruit of the vine; that which yieldeth fruit, whether in the ground or above the ground—

And all saints who remember to keep and do these sayings, walking in obedience to the commandments, shall receive health in their navel and marrow to their bones;"

— D&C 89:16, 18

Learning Objectives

1

Identify key nutrients absorbed and their locations in the small intestine

2

Connect clinical presentation of GI pathologies to plausible biochemical pathways

3

Utilize AI tools to deepen understanding of nutrient absorption in the small intestine

Review of Primary Locations for Nutrient Absorption

GI tract diagram showing nutrient absorption locations in duodenum, jejunum, and ileum

Image adapted from Pawlowski et al (2009) Gastroenterology 136: 1874-86

Clinical Case

A 41-year-old woman of Algerian descent, referred by her gynecologist, presented with a blood hemoglobin of 7.8 g/dL. She was on hormone therapy for endometriosis and had essentially no menstrual bleeding for the past 5 years. She followed no dietary restrictions. Her serum ferritin was unmeasurable.

The patient's only symptom was shortness of breath with exertion, and except for pallor, her examination results were normal. Iron repletion with daily ferrous sulfate supplements increased her blood hemoglobin to 12 g/dL in 1 year. She continued taking iron supplements.

Four years later, she fractured her wrist after a low-impact fall. A bone mineral density study (DEXA scan) revealed osteoporosis.

What is the most likely underlying cause of her signs and symptoms?

  1. Cation transporter deficiency
  2. Chronic hepatitis B infection
  3. Chronic small intestine bacteria overgrowth
  4. Celiac Disease
Patient

Gaps in Knowledge

Questions

Questions will appear here...

Answers

Answers will appear here...

Absorption Diagram
GI tract diagram showing nutrient absorption locations
Clinical Case

A 41-year-old woman of Algerian descent, referred by her gynecologist, presented with a blood hemoglobin of 7.8 g/dL. She was on hormone therapy for endometriosis and had essentially no menstrual bleeding for the past 5 years. She followed no dietary restrictions. Her serum ferritin was unmeasurable.

The patient's only symptom was shortness of breath with exertion, and except for pallor, her examination results were normal. Iron repletion with daily ferrous sulfate supplements increased her blood hemoglobin to 12 g/dL in 1 year. She continued taking iron supplements.

Four years later, she fractured her wrist after a low-impact fall. A bone mineral density study (DEXA scan) revealed osteoporosis.

What is the most likely underlying cause of her signs and symptoms?

  1. Cation transporter deficiency
  2. Chronic hepatitis B infection
  3. Chronic small intestine bacteria overgrowth
  4. Celiac Disease

Clinical Case

A 41-year-old woman of Algerian descent, referred by her gynecologist, presented with a blood hemoglobin of 7.8 g/dL. She was on hormone therapy for endometriosis and had essentially no menstrual bleeding for the past 5 years. She followed no dietary restrictions. Her serum ferritin was unmeasurable.

The patient's only symptom was shortness of breath with exertion, and except for pallor, her examination results were normal. Iron repletion with daily ferrous sulfate supplements increased her blood hemoglobin to 12 g/dL in 1 year. She continued taking iron supplements.

Four years later, she fractured her wrist after a low-impact fall. A bone mineral density study (DEXA scan) revealed osteoporosis.

What is the most likely underlying cause of her signs and symptoms?

  1. Cation transporter deficiency
  2. Chronic hepatitis B infection
  3. Chronic small intestine bacteria overgrowth
  4. Celiac Disease
Patient

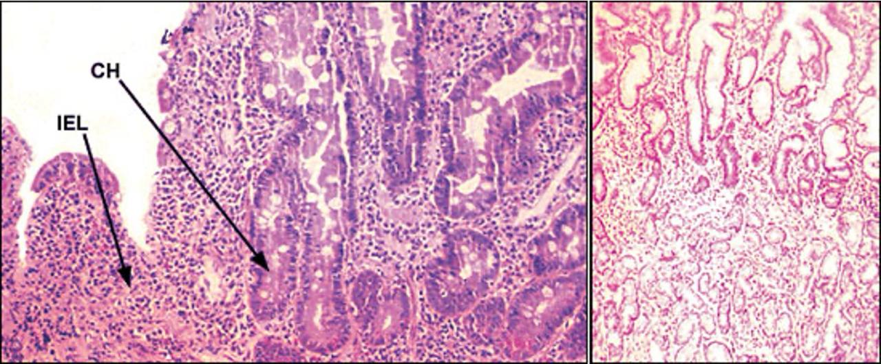
Case Review

Celiac duodenal biopsy specimen Healthy biopsy specimen
Celiac vs healthy duodenal biopsy comparison

IEL = intraepithelial lymphocytes  |  CH = crypt hyperplasia  |  Source: Am Fam Physician. 2002 Dec 15;66(12):2259-2266.

Normal villi vs Celiac disease damaged villi comparison

Why didn't she have any obvious GI symptoms?

Case Review

Gastrointestinal and Extraintestinal Manifestations of Celiac Disease and Nonceliac Gluten Sensitivity
Presence of Symptoms
Symptoms Celiac Disease Nonceliac Gluten Sensitivity
Intestinal
Abdominal pain, %+ (27.8)+
Anorexia+
Bloating++
Constipation, %+ (20.2)+
Diarrhea, %+ (35.3)+
Flatulence++
Lactose intolerance+
Nausea+
Gastroesophageal reflux+
Weight loss+
Vomiting+
Gastrointestinal and Extraintestinal Manifestations of Celiac Disease and Nonceliac Gluten Sensitivity
Presence of Symptoms
Symptoms Celiac Disease Nonceliac Gluten Sensitivity
Extraintestinal
Anemia, %+ (32)+
Anxiety++
Arthralgia, %+ (29.3)+
Arthritis, %+ (1.5)+
Ataxia++
Dental enamel hypoplasia+
Delayed puberty+
Dermatitis herpetiformis+
Depression++
Elevated liver enzymes+

Prevalence in celiac disease at presentation indicated in parentheses where available.
Source: JAMA. 2017;318(7):647-656.

Why not cation transporter deficiency?

  • Iron and calcium use different transporters to cross cell membranes
  • These transporters are separately regulated, and deficiency of either is rare
  • Algerians have high rates of celiac disease in their population (~5%, source: JAMA. 2017;318(7):647-656.)
  • Confirm celiac disease with tTG IgA antibody test while on gluten, followed by duodenal biopsy if positive
Iron and calcium transporters in the small intestine enterocyte

Image adapted from Knutson (2017) JBC 292(31):12735-12743

Summary

  • Adequate nutrient absorption requires:
    • Proper food sources
    • Digestion methods (enzymes, pH, etc.)
    • Anatomical structure
  • Malabsorption in the GI tract can manifest with both GI and non-GI symptoms

Assignments

Special thanks to Mauri Skabelund, Janet Lindsley, Ph.D., and Morgan Nelson Ph.D. for their help in preparing this lesson

Assignments